ER+ Breast Cancer: Understanding Pathology Outlines

P.Dailyhealthcures 105 views
ER+ Breast Cancer: Understanding Pathology Outlines

ER Positive Breast Cancer Pathology Outlines

Alright, guys, let’s dive into understanding ER-positive breast cancer and what the pathology outlines tell us. This is super important for getting a grip on the diagnosis and treatment. So, buckle up, and let’s break it down in a way that’s easy to understand!

Understanding Estrogen Receptor (ER) Positive Breast Cancer

When we talk about ER-positive breast cancer , we’re referring to a type of breast cancer where the cancer cells have estrogen receptors (ER). Think of these receptors as little antennas on the cells that can pick up estrogen signals. When estrogen binds to these receptors, it fuels the growth and proliferation of the cancer cells. This is why knowing whether a breast cancer is ER-positive is crucial—it helps doctors determine the best course of treatment.

Pathology outlines provide a detailed analysis of the cancer cells, including whether they express estrogen receptors. The presence of these receptors means that the cancer is likely to respond to hormonal therapies, which are designed to block estrogen from binding to the receptors or to lower the amount of estrogen in the body. Common hormonal therapies include drugs like tamoxifen and aromatase inhibitors. Tamoxifen works by blocking estrogen from binding to the ER, while aromatase inhibitors reduce the production of estrogen in postmenopausal women. Understanding the ER status helps oncologists tailor treatment plans that can effectively target the cancer cells while minimizing side effects.

Moreover, the level of ER positivity is significant. It’s not just a yes or no answer. Pathologists quantify the percentage of cancer cells that stain positive for ER and the intensity of the staining. This information is included in the pathology report and helps predict how well the cancer will respond to hormonal therapy. A higher percentage of ER-positive cells and stronger staining intensity usually indicate a better response to hormonal treatments. Additionally, ER status often correlates with other factors such as tumor grade and stage, providing a comprehensive picture of the cancer’s characteristics. This complete understanding is vital for creating personalized treatment strategies that offer the best possible outcomes for patients with ER-positive breast cancer.

The Role of Pathology Outlines

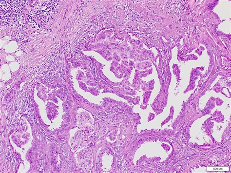
Pathology outlines are comprehensive documents that detail the microscopic characteristics of the breast cancer tissue. These outlines are prepared by pathologists, who are like detectives of the medical world, examining tissue samples under a microscope to identify and describe abnormalities. The pathology outline includes crucial information such as the type of cancer (e.g., invasive ductal carcinoma, invasive lobular carcinoma), the grade of the cancer (how abnormal the cells look), the size of the tumor, and whether the cancer has spread to nearby lymph nodes. It also includes the results of special tests, like immunohistochemistry, which determines the ER, PR (progesterone receptor), and HER2 status of the cancer cells. All this information is essential for staging the cancer and planning treatment.

Think of the pathology outline as a roadmap that guides the entire treatment process. It gives the oncologist a clear picture of what they are dealing with, helping them to select the most appropriate therapies. For example, if the pathology outline indicates that the cancer is ER-positive, the oncologist knows that hormonal therapy is a viable option. Conversely, if the cancer is ER-negative, hormonal therapy is unlikely to be effective, and other treatments, such as chemotherapy or targeted therapy, may be more appropriate. The pathology outline also helps in predicting the prognosis, or the likely outcome of the disease. Factors such as tumor size, grade, and lymph node involvement, as detailed in the pathology outline, are used to estimate the risk of recurrence and guide decisions about adjuvant (additional) therapies to reduce that risk.

Furthermore, pathology outlines serve as a critical communication tool among healthcare professionals. They provide a standardized way to report and share information about the cancer, ensuring that everyone involved in the patient’s care is on the same page. This is particularly important in multidisciplinary cancer care, where surgeons, oncologists, radiation therapists, and other specialists collaborate to provide the best possible treatment. The pathology outline facilitates informed discussions and collaborative decision-making, leading to more coordinated and effective care. Ultimately, the pathology outline is an indispensable resource for understanding and managing breast cancer, ensuring that patients receive the most appropriate and personalized treatment.

Key Elements in ER Positive Breast Cancer Pathology Reports

Alright, let’s break down the essential elements you’ll find in ER-positive breast cancer pathology reports . Knowing these key elements will help you understand your diagnosis better. The main things to look for include:

  • ER Status: This is the big one! The report will clearly state whether the cancer cells are ER-positive. It usually includes the percentage of cells that stained positive and the intensity of the staining (e.g., weakly positive, strongly positive).
  • PR Status: Along with ER, the report will also include the progesterone receptor (PR) status. Like ER, PR can influence treatment decisions, especially regarding hormonal therapy.
  • HER2 Status: This indicates whether the cancer cells have an excess of the HER2 protein, which can promote cancer growth. HER2-positive cancers may respond to targeted therapies like trastuzumab (Herceptin).
  • Tumor Grade: The grade of the tumor reflects how abnormal the cancer cells look under a microscope. Higher-grade tumors (grade 3) tend to grow and spread more quickly than lower-grade tumors (grade 1).
  • Tumor Size: The size of the tumor is an important factor in staging the cancer and determining the extent of the disease.
  • Lymph Node Involvement: The report will indicate whether the cancer has spread to nearby lymph nodes. If cancer cells are found in the lymph nodes, it suggests that the cancer may have spread beyond the breast.
  • Margins: Margins refer to the edges of the tissue removed during surgery. Clear margins mean that no cancer cells were found at the edges, reducing the risk of recurrence.

Understanding these elements will empower you to have informed conversations with your healthcare team. Each of these factors plays a role in determining the best treatment strategy and predicting the likely outcome of your specific case of ER-positive breast cancer. By grasping these key details, you can actively participate in decisions about your care and work collaboratively with your doctors to achieve the best possible results.

How to Interpret the ER Status

Interpreting the ER status in a pathology report involves understanding both the percentage of cells that stain positive for ER and the intensity of the staining. The percentage indicates how many of the cancer cells have estrogen receptors, while the intensity reflects the strength of the ER signal in those cells. Generally, a higher percentage of ER-positive cells and stronger staining intensity suggest a greater likelihood of response to hormonal therapy. Most labs consider a tumor ER-positive if at least 1% of the cells show positive staining, but the specific threshold may vary slightly depending on the lab.

For example, a report might state that 80% of the cancer cells are ER-positive with strong staining intensity. This would indicate a high level of ER expression, suggesting that hormonal therapy is likely to be effective. Conversely, a report might show that only 5% of the cells are ER-positive with weak staining intensity. In this case, the response to hormonal therapy might be less predictable, and other treatment options might need to be considered. It’s also important to note that the absence of ER expression (ER-negative) does not mean that the cancer is untreatable; it simply means that hormonal therapy is unlikely to be beneficial, and other therapies, such as chemotherapy or targeted therapy, will be more appropriate.

Moreover, it’s crucial to consider the ER status in conjunction with other factors, such as the PR status and HER2 status, to develop a comprehensive treatment plan. Some cancers may be ER-positive but PR-negative, or vice versa, and this can influence the choice of hormonal therapy. For instance, if a cancer is ER-positive and PR-positive, it is more likely to respond to tamoxifen, which blocks estrogen from binding to the ER. If a cancer is ER-positive but PR-negative, aromatase inhibitors, which reduce estrogen production, might be a better option. The HER2 status is also important because HER2-positive cancers may require additional targeted therapies, such as trastuzumab, in addition to hormonal therapy. By integrating all these factors, oncologists can create a personalized treatment strategy that maximizes the chances of a successful outcome.

Treatment Implications for ER Positive Breast Cancer

So, what does it mean for treatment when breast cancer is ER positive ? It basically opens the door for hormonal therapies, which are designed to either block estrogen from attaching to the cancer cells or lower the amount of estrogen in the body. These treatments can be incredibly effective in slowing down or stopping the growth of ER-positive breast cancer. The main types of hormonal therapies include:

  • Tamoxifen: This drug blocks estrogen from binding to the estrogen receptors on cancer cells. It’s often used in premenopausal women and can also be used in postmenopausal women.
  • Aromatase Inhibitors: These drugs reduce the amount of estrogen in the body by blocking an enzyme called aromatase, which is responsible for producing estrogen in postmenopausal women. Common aromatase inhibitors include letrozole, anastrozole, and exemestane.
  • Ovarian Suppression: In premenopausal women, treatments to suppress ovarian function (either temporarily with medications or permanently with surgery) can reduce estrogen production.

The choice of hormonal therapy depends on several factors, including menopausal status, the presence of other hormone receptors (like PR), and any other health conditions. Hormonal therapy is often used after surgery, chemotherapy, or radiation to help prevent the cancer from coming back. It can also be used as a primary treatment in some cases, especially for metastatic breast cancer (cancer that has spread to other parts of the body). While hormonal therapies are generally well-tolerated, they can have side effects. Common side effects of tamoxifen include hot flashes, vaginal dryness, and an increased risk of blood clots. Aromatase inhibitors can cause joint pain, bone loss, and an increased risk of fractures. It’s important to discuss these potential side effects with your doctor and weigh the benefits and risks of each treatment option.

Furthermore, hormonal therapy is frequently combined with other treatments to enhance its effectiveness. For example, some women may receive chemotherapy before or after hormonal therapy to kill any remaining cancer cells. Targeted therapies, such as CDK4/6 inhibitors, can also be used in combination with hormonal therapy to improve outcomes in advanced ER-positive breast cancer. Regular monitoring and follow-up are essential to assess the effectiveness of the treatment and manage any side effects. This includes regular check-ups, imaging tests, and blood tests to monitor hormone levels and cancer markers. By working closely with your healthcare team and staying informed about your treatment options, you can optimize your chances of a successful outcome and maintain a good quality of life.

Okay, so you’ve got your pathology report in hand – what now? Don’t panic! It might look like a bunch of medical jargon, but we can break it down. First off, take a deep breath. This report is a tool to help you and your healthcare team make informed decisions about your treatment. Here are some tips for navigating your pathology report:

  1. Read the Summary: Most pathology reports have a summary section that highlights the key findings. This is a great place to start to get an overview of the diagnosis.
  2. Identify Key Terms: Look for the terms we’ve discussed, such as ER status, PR status, HER2 status, tumor grade, tumor size, and lymph node involvement. These are the most important pieces of information.
  3. Don’t Be Afraid to Ask Questions: If you don’t understand something in the report, don’t hesitate to ask your doctor or another healthcare professional to explain it to you. They are there to help you understand your diagnosis and treatment options.
  4. Bring a Friend or Family Member: It can be helpful to have someone with you when you review your pathology report. They can take notes, ask questions, and provide support.
  5. Keep a Copy: Make sure you have a copy of your pathology report for your records. You may need it for future appointments or second opinions.

Remember, you’re not alone in this. Many resources are available to help you understand your diagnosis and treatment options. The American Cancer Society, the National Breast Cancer Foundation, and other organizations offer information and support for people with breast cancer. Take advantage of these resources to empower yourself and make informed decisions about your care.

Moreover, consider joining a support group or online community where you can connect with other people who have been diagnosed with breast cancer. Sharing your experiences and learning from others can be incredibly helpful in coping with the emotional and practical challenges of cancer. Additionally, remember to take care of your physical and mental health during this time. Eat a healthy diet, exercise regularly, and get enough sleep. Practice stress-reducing activities, such as yoga, meditation, or spending time in nature. By prioritizing your well-being and seeking support from your healthcare team and community, you can navigate your pathology report and treatment plan with confidence and resilience.

Conclusion

Understanding ER-positive breast cancer pathology outlines is a crucial step in navigating your diagnosis and treatment. By knowing the key elements in the pathology report and how to interpret them, you can actively participate in decisions about your care. Remember, you’re not just a passive recipient of treatment – you’re an active member of your healthcare team. Stay informed, ask questions, and advocate for your health. You’ve got this!