Pott's Disease: Understanding Tuberculous Spondylitis

P.Dailyhealthcures 1 views
Pott's Disease: Understanding Tuberculous Spondylitis

Pott’s Disease: Understanding Tuberculous Spondylitis

Hey everyone! Today, we’re diving deep into a condition you might not hear about every day, but it’s super important to understand: Pott’s disease . Also known as tuberculous spondylitis, this is basically a form of tuberculosis (TB) that affects the spine. Yeah, you heard that right – TB isn’t just a lung thing! It can spread to other parts of your body, and when it hits the spine, it’s called Pott’s disease. It’s been around for ages, described way back in the 1700s by Sir Percival Pott, which is how it got its name. This isn’t some rare, made-up illness; it’s a serious infection caused by the Mycobacterium tuberculosis bacteria, the same bug that causes pulmonary TB. What’s wild is that it usually develops years, even decades, after the initial TB infection, often when the body’s immune system takes a bit of a nosedive. So, even if someone had TB way back when and thought they were in the clear, this sneaky infection can reappear later in life, targeting the vertebrae. The thoracic spine (that’s your mid-back) is the most common spot for Pott’s disease, but it can pop up anywhere along the spinal column, from the neck down to the lower back. The infection starts by destroying the bone, leading to all sorts of problems like pain, deformities, and even paralysis if it’s left unchecked. Understanding Pott’s disease is crucial, especially in areas where TB is still prevalent, but honestly, it’s a global health concern. We’re going to break down what causes it, how it shows up, the challenges in diagnosing it, and what the heck we can do about it. So, grab a coffee, get comfy, and let’s get into the nitty-gritty of tuberculous spondylitis.

The Nitty-Gritty: What Exactly is Pott’s Disease?

Alright, let’s get down to the nitty-gritty of Pott’s disease , or tuberculous spondylitis, guys. So, this isn’t your average backache, okay? This is a serious infection caused by the Mycobacterium tuberculosis bacteria, the same one that gives you the lung version of TB. The way it usually works is that the TB bacteria, after infecting the lungs, can travel through the bloodstream or the lymphatic system to other parts of the body. The spine, particularly the vertebrae and the intervertebral discs (those spongy cushions between your bones), becomes a prime target. It’s like the bacteria find a cozy little spot to set up shop and start causing trouble. The infection typically starts in the anterior (front) part of the vertebral body , and from there, it can spread. It loves to eat away at the bone, causing what doctors call osteomyelitis (bone infection) and discitis (infection of the disc). This destruction is the main culprit behind the symptoms we see. What’s really sneaky about Pott’s disease is that it often has a long incubation period. People might have had latent TB for years, and then something triggers the infection to become active again in their spine. This could be due to a weakened immune system from conditions like HIV, old age, malnutrition, or even the use of certain medications like steroids. The infection slowly destroys the bone, leading to collapse of the vertebrae. When vertebrae collapse, the spine can lose its normal alignment, resulting in a gibbus deformity , which is basically a sharp, angular curvature of the spine, often seen as a prominent hump. Pretty gnarly, right? And if that wasn’t bad enough, the infection can also spread to the surrounding tissues, forming cold abscesses . These aren’t like your typical pus-filled abscesses; they’re collections of inflammatory material that can grow quite large and put pressure on nerves or the spinal cord itself. This pressure is where the real danger lies, potentially leading to neurological deficits , including weakness, numbness, and in severe cases, paralysis. So, when we talk about Pott’s disease, we’re talking about a slow, destructive process that can have devastating consequences if not caught and treated early. It’s a complex beast, and understanding its pathogenesis is the first step in tackling it.

Symptoms: How Does Pott’s Disease Show Up?

Okay, so you’re probably wondering, “How would I even know if someone has Pott’s disease ?” That’s a super valid question, guys, because the symptoms can be pretty vague at first, and they often develop slowly over time, making it a real diagnostic challenge. The hallmark symptom is persistent back pain . This pain is usually insidious in onset, meaning it creeps up on you. It’s often described as a deep, boring ache that gets worse with movement and can be present even at rest. Lying down might not bring much relief, which is a big red flag compared to your everyday muscle strain. This pain is typically localized to the affected area of the spine, but it can radiate to other parts of the body, like the abdomen or even the legs. As the disease progresses and the vertebrae are damaged, you might start noticing stiffness in the back and a reduced range of motion. This is due to inflammation and the structural changes happening in the spine. One of the most visible signs, especially in more advanced cases, is the development of a spinal deformity . As mentioned before, vertebral collapse can lead to kyphosis, which is that characteristic hunched-back appearance, or a gibbus . This isn’t just cosmetic; it can significantly impact mobility and posture. Beyond the local spinal symptoms, systemic symptoms of TB can also be present, although not always. These might include low-grade fever (especially in the evenings), night sweats, unexplained weight loss, and general fatigue or malaise. Think of it as the body fighting a chronic infection. In some unfortunate cases, the infection can spread and compress the spinal cord or the nerves exiting the spine. This is when things get really serious and can lead to neurological symptoms . You might see weakness in the legs (paraparesis), difficulty walking, sensory changes like numbness or tingling, and problems with bladder or bowel control. These are emergency signs, guys, and require immediate medical attention. It’s also worth noting that children can present slightly differently, sometimes with more pronounced deformities or fever. Because these symptoms overlap with so many other, more common back problems, Pott’s disease often gets missed or misdiagnosed for months, sometimes even years. That’s why it’s so critical to have a high index of suspicion, especially in individuals with a history of TB, those who are immunocompromised, or those presenting with persistent, unexplained back pain and systemic symptoms.

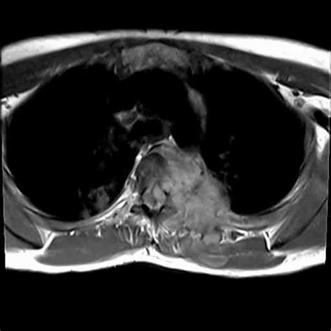
Diagnosis: Unmasking the Culprit

Diagnosing Pott’s disease can be a bit like detective work, guys, because, as we’ve talked about, the symptoms can be sneaky and mimic other conditions. So, doctors need to put on their Sherlock Holmes hats and gather clues from various sources. The first step, of course, is a thorough medical history and physical examination . The doctor will ask about your symptoms, their duration, any history of TB exposure or infection, your overall health, and any risk factors like immunocompromise. During the physical exam, they’ll check for tenderness over the spine, assess your range of motion, look for any deformities like a gibbus, and importantly, perform a neurological exam to check for any signs of spinal cord compression or nerve involvement – things like weakness, numbness, or reflex changes. Once the initial assessment raises suspicion, imaging studies become crucial. X-rays of the spine were traditionally the first line, and they can show abnormalities like narrowing of the disc space, destruction of the vertebral bodies (those lytic or ‘punched-out’ lesions), or evidence of collapse and deformity. However, X-rays might not pick up early changes, so more advanced imaging is often needed. CT scans (Computed Tomography) are excellent for visualizing bone detail. They can show the extent of vertebral destruction, involvement of the posterior elements of the spine, and help identify the presence and extent of any cold abscesses . MRI (Magnetic Resonance Imaging) is often considered the gold standard for diagnosing Pott’s disease. It provides detailed images of both bone and soft tissues. MRI is fantastic at showing the extent of bone marrow involvement, the degree of disc destruction, the presence and size of epidural or paravertebral abscesses (collections of pus around the spine), and importantly, it can clearly visualize spinal cord compression , which is key for surgical planning and assessing neurological risk. To confirm the diagnosis and pinpoint the exact cause, microbiological and histological examination is essential. This usually involves obtaining samples for analysis. A biopsy of the affected bone, disc, or any drained abscess fluid is taken. These samples are then sent to the lab to be cultured for Mycobacterium tuberculosis . They’ll also be examined under a microscope for characteristic inflammatory changes and the presence of acid-fast bacilli (AFB), which are the TB bacteria. Sputum microscopy and culture might also be done, even if lung symptoms aren’t prominent, to check for co-existing pulmonary TB. Blood tests , like an ESR (erythrocyte sedimentation rate) and CRP (C-reactive protein), are usually elevated, indicating inflammation, but they are non-specific. Tuberculin skin tests (TST) or interferon-gamma release assays (IGRAs) can suggest TB infection but don’t differentiate between active and latent TB, nor do they pinpoint the location of the infection. So, it’s really a combination of clinical suspicion, advanced imaging, and definitive microbiological proof that allows doctors to confidently diagnose Pott’s disease. It’s a puzzle, but putting all the pieces together is vital for effective treatment.

Treatment and Management: Fighting Back Against Pott’s Disease

So, we’ve talked about what Pott’s disease is, how it creeps up on people, and the challenges in spotting it. Now, let’s get to the crucial part: how do we actually treat it and manage this beast? The good news, guys, is that Pott’s disease is treatable, but it requires a dedicated, often lengthy, approach. The cornerstone of treatment is anti-tuberculosis chemotherapy . Just like with regular TB, the treatment involves a cocktail of potent antibiotics specifically designed to kill the TB bacteria. This regimen typically includes drugs like isoniazid, rifampicin, pyrazinamide, and ethambutol. The duration of treatment is usually much longer than for pulmonary TB, often lasting for 12 to 24 months , and sometimes even longer, depending on the severity of the infection, whether there are abscesses, and how the patient responds. Adherence to this medication regimen is absolutely critical. Skipping doses or stopping early can lead to treatment failure and the development of drug-resistant TB, which is way harder to treat. Pain management is also a significant part of the treatment plan. Patients often experience severe back pain, and doctors will prescribe appropriate analgesics to help manage discomfort and improve quality of life. Immobilization of the affected spinal segment was historically a big part of treatment, with patients often put in braces or casts. While complete bed rest is less emphasized now, avoiding strenuous activities and sometimes using supportive braces can help reduce pain and prevent further structural damage, especially during the initial stages of treatment when the bones are most fragile. Surgical intervention isn’t always necessary, but it plays a vital role in specific situations. Surgery might be recommended to drain large cold abscesses that are causing significant pressure on the spinal cord or nerves, or to relieve spinal cord compression. In cases of severe vertebral destruction and instability, or significant deformity, spinal fusion surgery might be performed to stabilize the spine, correct deformities, and prevent further collapse. This often involves removing diseased tissue, decompressing nerves, and then fusing the vertebrae together with bone grafts and hardware like rods and screws. Rehabilitation and physical therapy are super important components of recovery. Once the infection is under control and pain allows, physical therapists work with patients to regain strength, improve mobility, and learn strategies to manage any residual stiffness or weakness. They help patients adapt to any lasting changes and regain as much function as possible. Long-term follow-up is also essential. Patients need regular check-ups, imaging, and sometimes repeat cultures to ensure the infection has been completely eradicated and to monitor for any recurrence or complications. It’s a marathon, not a sprint, requiring patience, discipline, and a multidisciplinary team of healthcare professionals, including infectious disease specialists, orthopedic surgeons, radiologists, and physical therapists. But with the right treatment and dedicated care, many people can recover from Pott’s disease and lead fulfilling lives.

The Long Game: Prognosis and Living with Pott’s Disease

So, we’ve covered the whole spectrum of Pott’s disease , from what it is to how we fight it. Now, let’s talk about the long game: the prognosis and what life can be like for folks living with or recovering from tuberculous spondylitis . The outlook for Pott’s disease has improved dramatically over the years, largely thanks to the advancements in TB chemotherapy and surgical techniques. However, it’s crucial to understand that the prognosis really hinges on several key factors. Early diagnosis and prompt, consistent treatment are arguably the most important determinants of a good outcome. When caught early, before significant bone destruction or neurological compromise occurs, patients have an excellent chance of a full recovery with minimal long-term effects. They can expect to return to their normal activities and lead healthy lives. However, if diagnosis is delayed, or if treatment is inadequate or interrupted, the prognosis can be significantly worse. The extent of spinal damage is another major factor. Severe vertebral collapse, extensive disc involvement, and the presence of large abscesses can lead to more challenging recovery and a higher risk of long-term complications. Neurological involvement , particularly spinal cord compression, is a critical predictor. While many patients with neurological deficits can regain function with timely surgical decompression and treatment, some may experience permanent neurological damage, leading to chronic weakness, sensory loss, or mobility issues. The patient’s overall health and immune status also play a big role. Individuals with compromised immune systems, such as those with HIV/AIDS or who are undergoing immunosuppressive therapy, may have a harder time clearing the infection and are at higher risk of complications or relapse. Age can also be a factor; younger children may have different recovery patterns and are more susceptible to severe deformities. So, what does