Triple-Negative Breast Cancer: A Comprehensive Review

P.Dailyhealthcures 65 views
Triple-Negative Breast Cancer: A Comprehensive Review

Triple-Negative Breast Cancer: A Comprehensive Review

Unpacking the World of Triple-Negative Breast Cancer (TNBC): A Crucial Systematic Review

Guys, let’s talk about something incredibly important: Triple-Negative Breast Cancer (TNBC) . This particular form of breast cancer is often described as one of the most aggressive and challenging to treat, and for a really good reason – it lacks the three common receptors that many other breast cancers have, making targeted therapies a significant hurdle. That’s why diving into a systematic review of Triple-Negative Breast Cancer isn’t just an academic exercise; it’s a vital step in understanding the current landscape of this disease, pinpointing effective treatments, and identifying gaps in our knowledge. Imagine trying to solve a complex puzzle without all the pieces, or worse, without knowing what the final picture looks like. That’s often how it feels for patients and clinicians navigating TNBC. This deep dive aims to bring together the most robust evidence, offering a clearer picture of what we know, what we’re learning, and where we’re heading in the fight against this formidable foe. We’ll explore everything from its unique biological characteristics to the latest therapeutic advancements and the pressing need for continued, innovative research. The journey through a systematic review of TNBC helps us cut through the noise, distilling years of studies into actionable insights that can genuinely make a difference. We’re talking about crucial data that informs clinical practice, guides researchers towards promising avenues, and ultimately, offers hope to those affected by TNBC. So, buckle up, because we’re about to explore the complexities, the challenges, and the incredible progress being made in the realm of Triple-Negative Breast Cancer treatment and research . This isn’t just about statistics; it’s about real lives, real battles, and the unwavering dedication of the scientific community to improve outcomes for every single patient.

Understanding What Makes TNBC Unique and Challenging

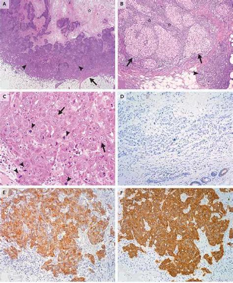
When we talk about Triple-Negative Breast Cancer (TNBC) , we’re really honing in on a specific subtype that stands apart from the pack. Unlike many other breast cancers, TNBC is characterized by the absence of three key receptors: estrogen receptor (ER) , progesterone receptor (PR) , and human epidermal growth factor receptor 2 (HER2) . These receptors, my friends, are the usual targets for many effective hormone therapies and HER2-targeted drugs that have revolutionized treatment for other breast cancer types. The “triple-negative” label means that these established targeted approaches simply don’t work for TNBC, making its treatment strategy fundamentally different and often more challenging. TNBC accounts for about 10-15% of all breast cancers, but its impact is disproportionately high due to its aggressive nature. It tends to grow and spread more rapidly than other types, often recurs after initial treatment, and has a higher likelihood of metastasizing to distant organs. Demographically, TNBC is more commonly diagnosed in younger women, African-American women, and those with BRCA1 gene mutations, suggesting genetic and ethnic predispositions that are still being actively researched. From a biological standpoint, Triple-Negative Breast Cancer is incredibly heterogeneous, meaning it’s not just one disease but a collection of diverse subtypes, each with its own unique genetic and molecular fingerprints. This internal complexity makes finding a “one-size-fits-all” treatment strategy incredibly difficult. Researchers are constantly working to uncover these underlying biological distinctions, hoping to identify new vulnerabilities that can be exploited by novel therapies. Understanding these inherent complexities is absolutely crucial for anyone embarking on a systematic review of Triple-Negative Breast Cancer , as it frames the entire context of treatment development and patient outcomes. Without these receptors as targets, current standard treatments primarily rely on chemotherapy , which, while effective for many, carries significant side effects and doesn’t always prevent recurrence. The lack of specific targets also means that TNBC often presents with a poorer prognosis compared to other breast cancer subtypes, especially in the early stages, reinforcing the urgent need for more effective and less toxic treatment options. This deep dive into its unique biology helps us appreciate why a comprehensive, systematic look at the research is not just beneficial, but essential for guiding future breakthroughs and improving the lives of those affected by this tough disease.

For patients diagnosed with Triple-Negative Breast Cancer (TNBC) , the treatment journey can often feel like navigating a complex maze, especially given the absence of conventional hormonal or HER2-targeted therapies. The standard-of-care for TNBC has historically centered around aggressive chemotherapy regimens , often combined with surgery (lumpectomy or mastectomy) and radiation therapy, depending on the stage and spread of the disease. While chemotherapy can be highly effective in shrinking tumors and eradicating cancer cells, particularly in the neoadjuvant (before surgery) and adjuvant (after surgery) settings, its broad-spectrum nature means it affects healthy cells too, leading to challenging side effects. Furthermore, despite initial responses, a significant percentage of TNBC patients face recurrence and metastasis, highlighting the urgent need for more durable and targeted solutions. This makes a systematic review of Triple-Negative Breast Cancer treatments absolutely critical for assessing the true efficacy and safety profiles of current approaches and understanding where the real breakthroughs are happening. Chemotherapy , including anthracyclines, taxanes, and platinum-based drugs, forms the backbone, sometimes extended into the adjuvant setting, but the search for more precise weapons against this aggressive cancer is relentless. Thankfully, the field of TNBC treatment is far from stagnant; it’s vibrant with emerging therapies that are genuinely changing the game. One of the most exciting advancements is in immunotherapy , specifically the use of checkpoint inhibitors like pembrolizumab. For patients whose tumors express PD-L1, adding immunotherapy to chemotherapy has shown remarkable improvements in pathological complete response rates and survival outcomes, giving us a powerful new tool in the arsenal. This is a huge deal, guys, because it taps into the body’s own immune system to fight the cancer. Another promising avenue involves PARP inhibitors (like olaparib and talazoparib), which are particularly effective for TNBC patients with BRCA1/2 mutations . These drugs target a specific DNA repair pathway, making cancer cells with these mutations more vulnerable. Then there are the innovative antibody-drug conjugates (ADCs) , such as sacituzumab govitecan. This brilliant concept delivers a potent chemotherapy drug directly to cancer cells via an antibody that recognizes a specific protein (Trop-2) often overexpressed in TNBC , minimizing damage to healthy cells. The integration of these novel therapies represents a significant shift, moving beyond broad-stroke chemotherapy towards more personalized and targeted approaches for Triple-Negative Breast Cancer . A rigorous systematic review allows us to evaluate the real-world impact of these new drugs, compare their effectiveness against established treatments, and identify which patient subgroups benefit most, shaping future clinical guidelines and ultimately offering better, more tailored options for those battling this challenging disease. The continuous evolution of therapies gives us immense hope for improving prognosis and quality of life for TNBC patients worldwide, proving that even for the toughest cancers, science never stops fighting.

The Indispensable Role of Systematic Reviews in Advancing TNBC Research

Why are systematic reviews so crucial, especially when we’re talking about a complex and rapidly evolving field like Triple-Negative Breast Cancer (TNBC) ? Well, guys, think of it this way: in the vast ocean of scientific literature, new studies on TNBC are published almost daily. Each study brings its own findings, its own methodologies, and its own conclusions. Without a structured way to make sense of all this information, it’s incredibly difficult for clinicians, researchers, and policymakers to discern what truly works, what’s still experimental, and where the biggest knowledge gaps lie. That’s precisely where a rigorous systematic review comes into play. A systematic review isn’t just a simple summary of studies; it’s a meticulously planned and executed scientific endeavor designed to answer a specific research question by identifying, appraising, and synthesizing all relevant evidence. For Triple-Negative Breast Cancer , this means systematically sifting through countless clinical trials, observational studies, and basic science research to pull out the most reliable and impactful data. The process typically involves defining clear inclusion and exclusion criteria, performing exhaustive searches across multiple databases, critically appraising the quality and risk of bias of each included study, and then synthesizing the findings in a structured, transparent manner. This methodical approach helps to minimize bias and provides a much stronger evidence base than individual studies alone. The impact of such a systematic review of TNBC research is profound. Firstly, it synthesizes existing evidence , transforming a fragmented collection of individual studies into a cohesive and understandable narrative. This synthesis helps to consolidate our understanding of TNBC’s biology, identify the most effective treatments (both established and emerging), and understand patient outcomes across diverse populations. Secondly, these reviews are absolutely vital for informing clinical guidelines and practice . When healthcare professionals make decisions about patient care, they rely on the best available evidence. A well-conducted TNBC systematic review provides that gold standard evidence, ensuring that treatment protocols are based on robust data, not just anecdotes or isolated findings. It helps define best practices and identifies areas where current treatments may fall short. Thirdly, and perhaps most importantly for the future, systematic reviews are instrumental in identifying gaps in current research . By meticulously cataloging what has been studied and what questions remain unanswered, these reviews effectively point the way for future research endeavors. They highlight where more clinical trials are needed, what novel therapeutic targets deserve further investigation, and which patient populations are underserved by current research. This guidance is invaluable for optimizing research funding and directing scientific efforts towards areas with the greatest potential impact. So, a systematic review in TNBC research is truly indispensable – it’s a critical tool for knowledge translation, evidence-based medicine, and accelerating the pace of discovery, ensuring that every step forward is built on a solid foundation of rigorous scientific inquiry.

Charting the Course Ahead: Future Directions and Hope for TNBC Patients

Looking ahead, the landscape for Triple-Negative Breast Cancer (TNBC) patients is brimming with hope and exciting future directions , thanks to the relentless dedication of researchers and clinicians worldwide. After undertaking a comprehensive systematic review of Triple-Negative Breast Cancer , it becomes clear that while significant strides have been made, the journey is far from over, and the future holds incredible promise. One of the most compelling frontiers in TNBC research is the continued exploration of personalized medicine approaches . As we’ve discussed, TNBC isn’t a single disease; it’s a collection of diverse subtypes. The goal now is to move beyond the “one-size-fits-all” approach and develop therapies tailored to an individual patient’s tumor characteristics. This involves sophisticated genomic profiling, proteomics, and advanced liquid biopsy techniques to identify unique biomarkers and actionable targets. Imagine, guys, a future where every TNBC patient receives a treatment plan precisely designed for their specific tumor, minimizing side effects and maximizing efficacy – that’s the dream, and we’re getting closer! Ongoing research is heavily focused on uncovering new molecular targets beyond PD-L1 and BRCA mutations . This includes investigating novel immune checkpoints, stromal targets, and metabolic vulnerabilities that are unique to TNBC cells. Clinical trials are constantly exploring combinations of existing therapies with investigational drugs, such as dual-immunotherapy approaches, combinations of PARP inhibitors with immunotherapy, or integrating novel anti-angiogenic agents. The aim is to create synergistic effects that overcome resistance mechanisms and improve long-term outcomes. Furthermore, the development of next-generation antibody-drug conjugates (ADCs) is incredibly promising, with new targets and more potent payloads being engineered to deliver precise, high-dose chemotherapy directly to cancer cells. Another vital aspect is improving our understanding of resistance mechanisms . Why do some patients respond initially to a therapy only to have their cancer recur? Unraveling these complex biological pathways is key to developing strategies to prevent or overcome resistance, ensuring that treatments offer more durable benefits. Beyond the lab and clinic, the role of patient advocacy and support cannot be overstated. Organizations dedicated to TNBC are crucial for funding research, raising awareness, and providing vital resources and community for patients and their families. Their voices amplify the urgent need for new therapies and help shape the research agenda. Finally, the integration of artificial intelligence (AI) and machine learning into TNBC research is also gaining momentum. These powerful tools can analyze vast datasets of genomic, clinical, and pathological information to identify patterns, predict treatment responses, and even discover new drug targets at an unprecedented speed. The collective efforts across these diverse fronts – from basic science to clinical trials, from personalized medicine to patient advocacy, and from AI innovation to global collaboration – truly illuminate a path towards a future where Triple-Negative Breast Cancer is not just treatable, but ultimately, curable for more patients. The hope is real, and the scientific community’s commitment to making this a reality is unwavering, promising a brighter tomorrow for everyone touched by this challenging disease. This continuous evolution, fueled by systematic review insights, ensures we are always moving forward, always striving for better.

Conclusion: A Unified Front Against Triple-Negative Breast Cancer

As we wrap up our comprehensive systematic review of Triple-Negative Breast Cancer (TNBC) , it’s clear that this journey through the latest research, treatments, and future directions paints a picture of both persistent challenge and profound hope. TNBC remains a formidable adversary, characterized by its aggressive nature and the absence of common therapeutic targets. However, the scientific community’s unwavering dedication, fueled by insights from rigorous systematic reviews , is steadily transforming the landscape for patients. We’ve seen how understanding the unique biology of TNBC is paramount, guiding us away from broad-spectrum approaches towards increasingly personalized and targeted therapies . The emergence of immunotherapy , PARP inhibitors , and innovative antibody-drug conjugates represents a significant paradigm shift, offering new avenues of treatment where few existed before. These aren’t just incremental changes; they are breakthroughs that are genuinely improving outcomes for many patients, moving us closer to overcoming the limitations of traditional chemotherapy alone. The indispensable role of systematic reviews itself cannot be overstated. These meticulous processes are the bedrock of evidence-based medicine, synthesizing fragmented data into cohesive knowledge, informing clinical guidelines, and critically, pinpointing the gaps that guide future research. They ensure that every step forward in TNBC research is built on the most robust and reliable evidence available. Looking ahead, the emphasis on precision medicine , the continuous discovery of novel molecular targets, and the integration of cutting-edge technologies like AI promise a future where TNBC becomes increasingly manageable, and ultimately, preventable or curable for a wider range of patients. The path forward is bright, marked by collaborative efforts across research institutions, pharmaceutical companies, healthcare providers, and powerful patient advocacy groups. This unified front, continually informed by comprehensive systematic reviews , embodies our collective commitment to improving the lives of those affected by Triple-Negative Breast Cancer , offering not just advanced treatments, but also renewed hope and unwavering support.